
It is everyone’s desire to have a great smile. It is a widely held belief that individuals who are beautiful are happier, confident, kind, friendly and more successful than the less attractive people. Why not improve your smile while also enhancing your quality of life? Some of us are not lucky to achieve this perfect smile naturally and may require dental treatment in order to achieve this perfect smile. With lots of information and practitioners, patients aiming to transform their dental appearance may receive conflicting information throwing them into an array of confusion in their quest to have cosmetic dental makeover. With so much contradictory information out there about cosmetic dentistry, where do you turn for the facts?
In today's society, most people have the desire to look their best, since physical appearance plays an important role in an individualʼs self-esteem and success. It is human nature to attribute positive personality characteristics to attractive individuals, and such people receive favourable treatment in a variety of situations (Sarwer et al, 2004)
Smartsmile Dentalcare Clinics has specialists called prosthodontists-experts in the restoration and replacement of teeth who are readily available at convenient appointment hours to give you factual, honest advice about cosmetic dentistry procedures and how they can be beneficial to you.
Cosmetic dentistry refers to all the dental procedures aimed at improving the appearance of the teeth, gums or smile. The main focus of cosmetic dentistry is the improvement of dental aesthetics in color, position, shape, size, alignment and overall smile appearance. The improvement does not primarily focus on the functionality of the teeth after the makeover but the general appearance. When you contemplate changing your dental appearance, particularly your smile, then you should have your treatment done by an experienced, well-seasoned dental practitioner that will survive the test of time in an challenging oral environment.
Types of cosmetic dentistry.
Cosmetic dentistry procedures include; Bridges, crown, Veneers, Dentures, Recontouring teeth, Whitening and aesthetic restorations.
Dentures
When you have one or more teeth missing after an extraction but still want to maintain your appearance and function or even protect the sensitive areas during the healing process after losing one or more teeth, then a denture may be very effective. Dentures are removable appliances that you can take out and put back and are made from bio-friendly materials that accurately fits and give you high aesthetic appearance as well.
Bridges
Just like dentures, a bridge is also used to replace one or more missing teeth. A bridge however is permanently fixed in between two crowns. A bridge will help you restore your smile, chew effectively, maintain the shape of your mouth and even keep your teeth from becoming misaligned.
Veneers
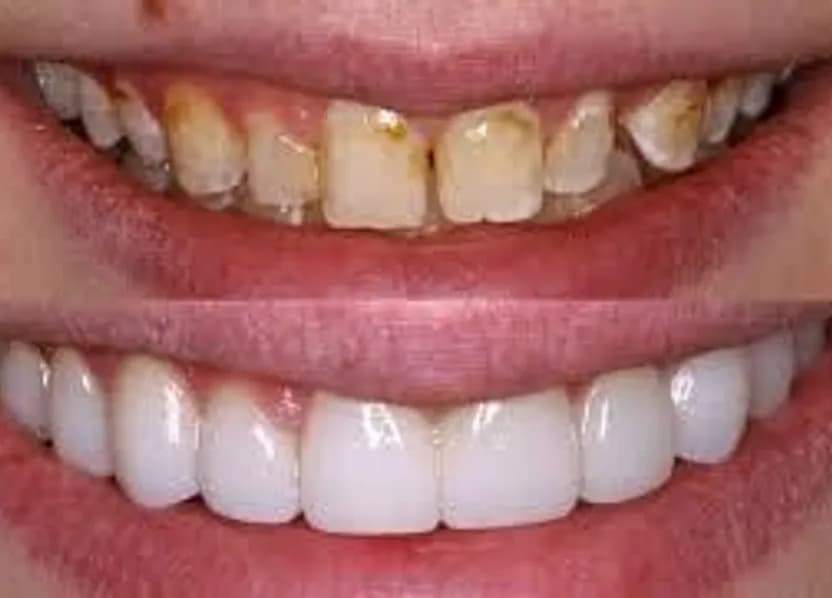
Having chipped, worn out or discolored front teeth that cannot be whitened can sometimes cause discomfort. However, veneers can be used to correct these issues. Veneers can also be used to cover large uneven spaces in between the front teeth. Veneers are thin coverings made from porcelain or composite resin material that look like your natural tooth placed over the front (visible) part of your tooth.
Bleaching
The colour of your teeth can be modified using some techniques which removes the brown stains on your tooth enamel. These procedures are referred to as teeth bleaching. Read more on bleaching at https://smartsmiledentalclinics.co.ke/article/tooth-whitening.
Dental issues that would require cosmetic dentistry.
The following are sone of the conditions which may necessitate the application of aesthetic dentistry
The management of these conditions requires a comprehensive diagnosis and an accurate treatment plan to realize the best outcome for the patient wishing to have aesthetic dental services. At smartsmile dentalcare clinics, we offer you aesthetic/cosmetic dental service that suits your needs. We take keen interest in investigations and diagnosis which enhances the treatment planning for every client in need of our services.
Before and after placement of veneers in a patient with teeth discoloration and tooth sizes discrepancies in need of restoration of dental aesthetics